スマイルデンチャー
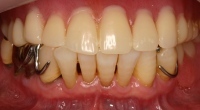
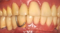
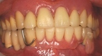
特にお出かけ時の前歯の入れ歯のバネ(金具)が気になるあなた。
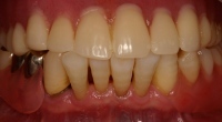
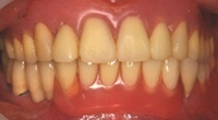
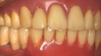
審美!目立たない入れ歯であるスマイルデンチャーはこんな方に最適です。
保険義歯(入れ歯)の金属部分が目立つことや、唇や舌への違和感が気になる方、 欠損している部位の左右の健康な歯を削る、差し歯のブリッジや従来の入れ歯が嫌な方やインプラントによる修復が困難な方・費用を抑えたい(手術が怖い、十分な骨量がない、金額をもっと抑えたいなど)金属アレルギーの方などに最適と思われます。
新しい未来と人生
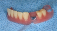
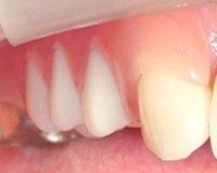
一見、保険義歯とスマイルデンチャーは似たような材質のようにも見えますが、透明感は全く違います。
歯肉に近い色の素材を使っていますので、入れ歯が入っているように見えません。また、保険の入れ歯では、割れないようにある程度の厚みをもたせていますが、スマイルデンチャー は軽く・薄くできるのが特徴で、更に無味無臭・違和感がありません。
スマイルデンチャーは外側から目立たないだけでなく、内側の金具もなくなるので、フィット感や舌感が良く、 違和感も少なくなります。お手にとって比べて頂ければ、弾力性・重量も全く保険の入れ歯とは異なることがお分かり頂けます。




力を加える前
スマイルデンチャーは軽く・薄くできるのが特徴で、更に無味無臭・違和感がありません。