なかざとファミリー歯科口腔クリニック|沖縄県那覇市大道

診療スタイルは、「予防をベースとした診療」です。

HOME ≫ 予防歯科 ≫

予防歯科

素敵な笑顔

7-1

みなさん素敵な笑顔で写ってますね!明眸皓歯(めいぼうこうし)とはこのような事を言うのでしょうね。

このかわいいいお子様たちが、20年後、今と変わらぬ美しい 笑顔でいられるよう、私たちは誠心誠意お手伝いしていき ます。
もはや、むし歯や歯周病治療中心の医療から、軸足を予防に移すことは常識になりつつあります。

輝く笑顔の貴方であり続けるために、また、一生涯、自分の 歯を持ち続けるためには、継続的な予防や定期的なメンテナ ンスが必要不可欠です。

7-2

むし歯や歯周病は、マイ・デンタル・ハイジニストによる予防が最良の治療

マイ・デンタル・ハイジニスト!

自分担当の歯科衛生士(デンタル・ハイジニスト)を持つことは、とても良いことだと思います。いつ来院しても、同じ歯科衛生士が予防処置やメンテナンスをしてくれる。気心が知れてきて、まるで予防処置やメンテナンスに定期的に来院して、その衛生士に会いに来ているような感触になってきます。
また、元気や笑顔もたくさん出てくることでしょう。

なかざとファミリー歯科口腔クリニック勤務の衛生士から一言
予防のポイント

7-3

日々のホームケアーと定期的なプロフェッショナルケアーで、むし歯や歯周病を予防しましょう。

簡単にホームケアーで、できる事と言えば・・・
そうで~す。歯ブラシによるブラッシングですね!でも、そのほかにもあるので、 次を読んでみてね!

簡単にできる日々のホームケア

ブラッシング

あなたご自身の、お口に合わせた歯ブラシを選び、正しいブラッシングを身につけましょう!自分勝手な磨き方は、歯と歯ぐきを傷つけてしまうことがあります。

フロッシング

1日に1度は、歯と歯の間にデンタルフロス(糸ようじ)を通しましょう。デンタルフロスも正しい使い方を習いま しょう!

マウスウォッシング

ブラッシング、フロッシングの後にマウスウォッシングをすると、さらに効果的です。

フッ素

フッ素で歯を強くしましょう!フッ素入り歯磨き粉が効果的ですよ。

キシリトール

キシリトール入りのガムを噛むようにしましょう。

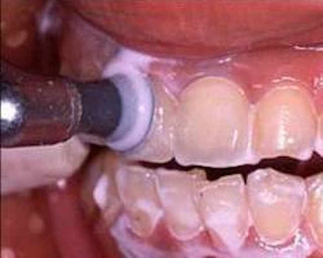
私たち衛生士による定期的なプロフェッショナルケア!

7-4

私たち衛生士による定期的なプロフェッショナルケアーは、専門の道具と材料を使って、日ごろお手入れができない細かいところまで、歯をピカピカに磨き上げます。
お口の健康維持のためには、すみずみまで綺麗にしないといけませんが、ご存知のとおり”歯”はデコボコが多い複雑な曲面をしていますので、自己流ではすべて磨き上げることは、至難の技です。

そこで、私たち衛生士がお口の健康を維持できるように、定期的にお手伝いさせていただいているのです。気持ちよくなって、寝てしまう方もいらっしゃいますよ!
ぜひ、一度お越しください。お待ちしております。

求人情報
お問合せ
ネット予約

なかざとファミリー歯科口腔クリニック

【住所】〒902-0066沖縄県那覇市大道45番地
【電話番号】098-887-6408
【FAX番号】098-887-6408

診療時間
9:00~12:30
13:30~17:00
【休診日】水曜・日曜・祝日

モバイルサイト

なかざとファミリー歯科口腔クリニックスマホサイトQRコード

スマートフォンからのアクセスはこちら